
Escucha este artículo
Audio generado con IA de Google
0:00
/
0:00
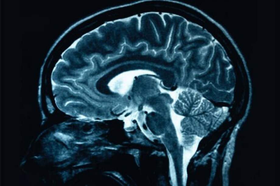
Tener un cerebro más grande no es una garantía de tener un QI más alto, ya que lo que importa es cómo esté estructurada la materia gris, reveló un extenso estudio que cruza los datos de decenas investigaciones anteriores.
Los datos muestran claramente que los científicos habían "sobrestimado" la supuesta relación entre el tamaño del cerebro y el rendimiento intelectual, explicó este miércoles a la agencia APA el director del estudio Jakob Pietschnig, perteneciente a la Universidad de Viena.
El científico afirmó que el factor decisivo es "la estructura del córtex, el mesencéfalo (el cerebro medio) y el cerebelo, y el hecho de que la materia blanca esté conectada con la materia gris de una forma óptima".
El estudio fue publicado en la revista Neuroscience & Biobehavioral Reviews la semana pasada, después de Pietschnig y su equipo realizaran un metanálisis a partir de más de 88 estudios, con más de 8.000 participantes.
Los datos muestran que los hombres, a pesar de que tienen un cerebro más grande que el de las mujeres, no tienen más habilidades cognitivas.
En tanto, las personas con un cerebro anormalmente grande, una condición conocida como la megaencefalia, tienen en promedio un rendimiento más bajo en las pruebas de CI, destacó Pietschnig.
Esta misma lógica se aplica al reino animal, afirman los científicos, que citan como ejemplo el cachalote, que con un cerebro de nueve kilos debería ser el animal más inteligente del planeta, pero no lo es.