
Escucha este artículo
Audio generado con IA de Google
0:00
/
0:00
Los científicos han encontrado correlaciones genéticas asociadas con el uso de la mano izquierda. Además, detectaron características estructurales del cerebro que son más comunes en personas zurdas. El estudio fue publicado en Brain.
Ya ha habido intentos de encontrar correlaciones entre el uso de la mano zurda y características psicológicas o la estructura del cerebro. Por ejemplo, un estudio encontró que los zurdos o ambidiestros son más comunes entre los pacientes esquizofrénicos. (Lea: ¿Por qué preferimos un tipo de música? La respuesta está en la estructura cerebral)
Así mismo, un estudio sobre gemelos mostró que la tendencia a usar el lado izquierdo se puede heredar, lo que significa que debe haber algunas variantes genéticas asociadas. A pesar de que los estudios en esta dirección ya se han realizado, generalmente se realizan en una pequeña muestra.
Ahora Akira Wiberg, de la Universidad de Oxford (Reino Unido), y sus colegas utilizaron los resultados de un gran estudio a largo plazo realizado por el Biobanco del Reino Unido para completar las deficiencias del trabajo previo relacionado con una pequeña muestra.
A disposición de los científicos estaban los datos de aproximadamente 500 mil personas, incluidos los resultados de los exámenes de resonancia magnética funcional de 9,000 personas y análisis de 400 mil personas (38,322 zurdos y 356,567 diestros), con los cuales sería posible realizar un estudio genómico. (Puede leer: Una mayor cantidad de materia gris podría predisponerte a padecer de alcoholismo)
Los científicos procesaron escáneres cerebrales y examinaron los genomas de los participantes para encontrar las conexiones entre el uso del lado zurdo, las estructuras en el cerebro y las diferencias en los genes.
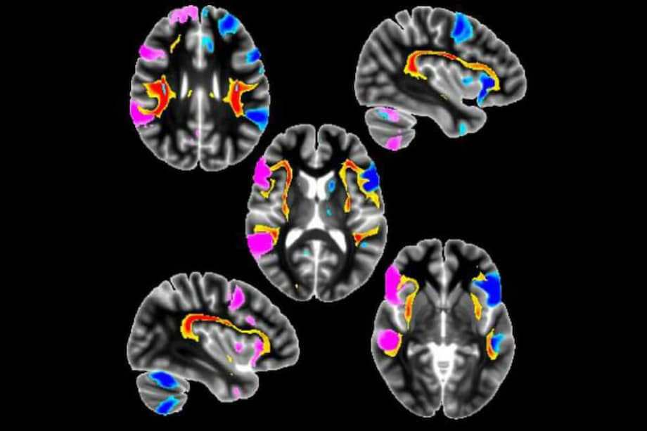
Los resultados de la búsqueda de correlaciones entre las características estructurales del cerebro y el uso de la mano izquierda mostraron que las personas zurdas tienen una conexión más fuerte entre los centros del habla de diferentes hemisferios. Además, existen características comunes de los tractos que conectan los centros del habla en personas zurdas y pacientes con esquizofrenia y que sufren de alucinaciones auditivas.
Genes involucrados
Un estudio de correlatos genéticos mostró cuatro loci en los que existen diferencias significativas entre personas diestras y zurdas. En estos loci se encuentran los genes MAP2, TUBB y MAPT, que son responsables de la formación del citoesqueleto de las neuronas en la sustancia blanca y, por lo tanto, participan en la formación de las células nerviosas.Una secuencia, regula la expresión del gen MAPT, que estudios previos han asociado con el desarrollo de la enfermedad de Parkinson, pero la variante de Leschs se correlaciona con un menor riesgo de desarrollar la enfermedad. Una de las secuencias está implicada en la regulación del gen MICB, que se asocia con síntomas de esquizofrenia. Las personas zurdas tienen más probabilidades de tener la opción asociada con un mayor riesgo de desarrollar la enfermedad.
Los científicos aún no pueden decir si una conexión más desarrollada entre los centros de habla ayuda a las personas zurdas. Para esto, es necesario realizar estudios adicionales en los que los participantes resuelvan tareas correspondientes. (Le puede interesar: El sentido del tacto surge en el cerebro antes del nacimiento)
Anteriormente escribimos sobre la relación de la mano izquierda con las características estructurales del cuerpo. Un científico de la Universidad de Washington descubrió que es más probable que las personas zurdas se encuentren entre las personas con una mordida profunda.
Manténgase informado sobre las últimas noticias que suceden en Colombia y el Mundo, el más completo cubrimiento noticioso todos los días con el periódico El Espectador.