
Escucha este artículo
Audio generado con IA de Google
0:00
/
0:00
Usualmente, se ha dicho que el clítoris humano, el órgano femenino de placer, tiene unas 8.000 terminaciones nerviosas, que es aproximadamente el doble de las que tiene el pene. Sin embargo, un estudio realizado por la Universidad de Salud y Ciencias de Oregon, y presentado el pasado 27 de octubre en una reunión científica conjunta de la Sociedad de Medicina Sexual de América del Norte y la Sociedad Internacional de Medicina Sexual, encontró algo distinto.
La nueva investigación encontró que, en promedio, hay 10,280 terminaciones nerviosas, un 20% más de lo que se había estimado anteriormente. Se cree que este estudio trae el primer conteo (del que se sabe) de las terminaciones nerviosas del clítoris. (También puede leer: Ya habría reemplazo de Martha Ospina en la dirección del Instituto Nacional de Salud)
“Es sorprendente pensar en más de 10.000 fibras nerviosas concentradas en algo tan pequeño como el clítoris”, dijo el médico Blair Peters, quien condujo el estudio. “Es particularmente sorprendente cuando comparas el clítoris con otras estructuras más grandes del cuerpo humano. El nervio mediano, que atraviesa la muñeca y la mano y está involucrado en el síndrome del túnel carpiano, es conocido por tener una alta densidad de fibras nerviosas. Aunque la mano es muchas veces más grande que el clítoris, el nervio mediano solo contiene unas 18.000 fibras nerviosas, o menos del doble de las fibras nerviosas que se acumulan en el clítoris, que es mucho más pequeño”, dijo a través de un comunicado.
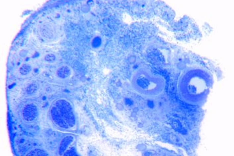
Peters analizó el tejido nervioso del clítoris, que obtuvo de siete hombres transgénero adultos, quienes se postularon como voluntarios para el estudio. Se tiñeron los tejidos y se ampliaron mil veces bajo un microscopio para que las fibras nerviosas individuales pudieran contarse con la ayuda de un software de análisis de imágenes.
Lo que muchos conocen como clítoris es solo la punta externa del órgano. La parte altamente sensible, también conocida como glande del clítoris, se encuentra internamente. Debajo de su superficie está el nervio dorsal, el nervio principal responsable de la sensación del clítoris. (Le puede interesar: El canto de los pájaros alivia la ansiedad y la depresión, según estudio)
Peters recolectó muestras de un lado del tejido del nervio dorsal. Ahí se contaron, en promedio, alrededor de 5.140 fibras nerviosas del clítoris dorsal entre las muestras. Sabiendo que el nervio dorsal es simétrico, el promedio se multiplicó por dos para llegar a una estimación de 10.281 terminaciones nerviosas.
El médico dice que los datos recopilados pueden servir para mejorar la atención a mujeres y, en general, para tener más conocimiento médico sobre las vulvas, un campo que ha sido históricamente ignorado.
Además de un resumen que se presentó en la reunión de ayer, un documento más detallado que explica la investigación de Peters está siendo revisado por pares para publicarse en una revista científica.
👩⚕️ 📄¿Quieres conocer las últimas noticias sobre salud? Te invitamos a verlas en El Espectador. ⚕️🩺