
Escucha este artículo
Audio generado con IA de Google
0:00
/
0:00
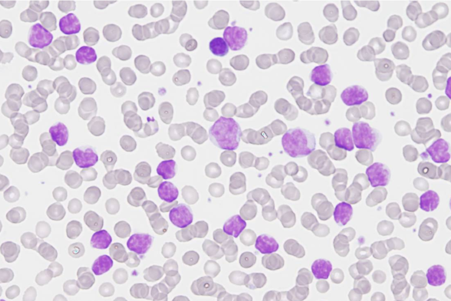
La leucemia linfática crónica es un tipo de cáncer sanguíneo y es la leucemia más frecuente en el mundo occidental. Al año, de cada 100.000 habitantes, al menos se reportan cinco casos. Este tipo de cáncer se caracteriza por un aumento en el número de linfocitos B, un tipo de glóbulo blanco, que puede detectarse de forma accidental en una analítica rutinaria. (Lea: Un paciente con VIH logra la remisión del virus. Es el cuarto del mundo)
Para tener un mayor panorama sobre este tipo de cáncer, un equipo de científicos, coordinado por investigadores del Instituto de Investigaciones Biomédicas August Pi i Sunyer (IDIBAPS) y la Universidad de Barcelona (UB), analizó todos los cambios genéticos producidos por esta enfermedad.
Esta enfermedad puede tener un crecimiento lento y de buen pronóstico o rápido y agresivo, por lo que es esencial conocer las alteraciones moleculares que provocan esta evolución tan distinta. Para tener un mejor panorama, los investigadores se dieron a la tarea de completar el mapa de los cambios genéticos en esta enfermedad.
Para construirlo, los investigadores analizaron las variaciones en las secuencias genéticas, los patrones de expresión de genes y las modificaciones químicas del ADN (datos genómicos, transcriptómicos y epigenómicos) de 1.148 pacientes. (Puede leer: Exposición a pesticidas aumenta el riesgo de leucemia mieloide aguda)
Una vez analizaron estas muestras, lograron identificar al menos 202 genes (109 de ellos nuevos) que, cuando están mutados, pueden conducir a la aparición y progresión de la enfermedad. Además, consiguieron perfeccionar la caracterización de los subtipos de esta leucemia.
Xosé Puente, investigador del Instituto Universitario de Oncología de la Universidad de Oviedo (IUOPA) y coautor del estudio, explicó a la Agencia Sinc que “los patrones de expresión de ciertos genes nos han permitido realizar una subcategorización de la patología, que proporciona información pronóstica muy valiosa”.
Los resultados clínicos de los pacientes se asociaron a las características de su tumor, por lo que la integración de estos datos puede predecir la probabilidad de tener una enfermedad muy indolente durante muchos años, experimentar una remisión después del tratamiento o que su leucemia sea más agresiva y requiera nuevos tratamientos.
Para los investigadores, este mapa, que fue publicado en la revista Nature Genetics, es una herramienta que proporcionará una mejor comprensión de la patología y que puede contribuir a mejores pronósticos mucho más precisos, diagnósticos mejorados y nuevos tratamientos. (Le puede interesar: Tratamientos contra el cáncer: el riesgo de eventos adversos sería mayor en las mujeres)
👩⚕️ 📄¿Quieres conocer las últimas noticias sobre salud? Te invitamos a verlas en El Espectador. ⚕️🩺