
Escucha este artículo
Audio generado con IA de Google
0:00
/
0:00
Investigadores del Instituto de Microelectrónica de Barcelona (IMB-CNM) del CSIC y la Universidad de Bath (Reino Unido) han fabricado e introducido chips dentro de células vivas para detectar los cambios mecánicos que se producen en las primeras etapas del desarrollo embrionario. Los detalles los publican esta semana en la revista Nature Materials.
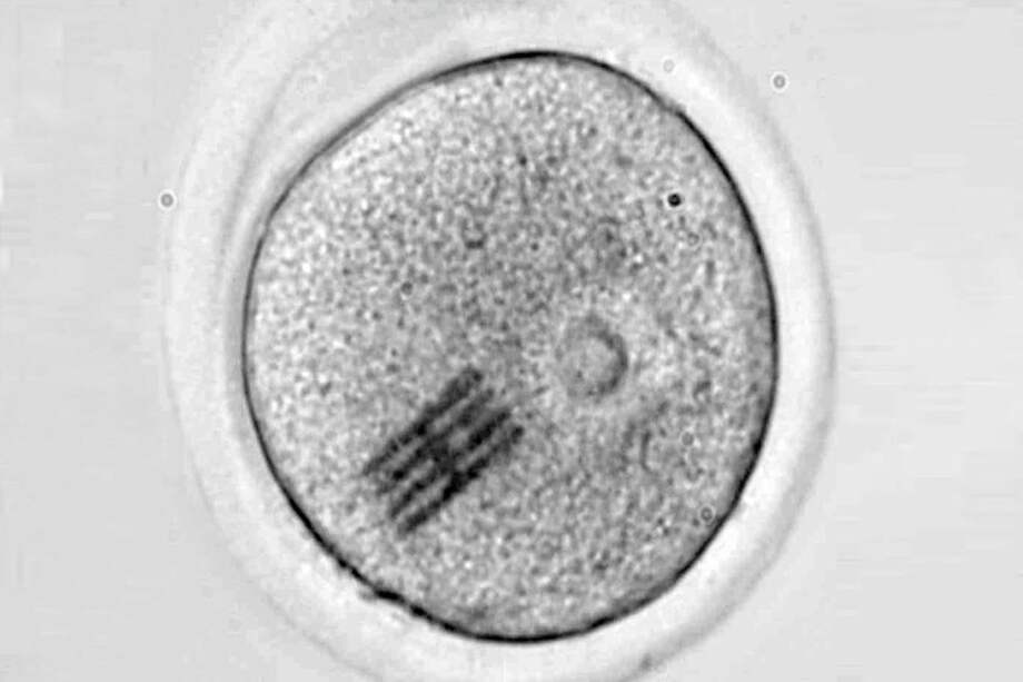
El chip funciona como sensor mecánico y es extremadamente minúsculo: mide apenas 22 por 10,5 micrometros, con 25 nanometros de grosor. Esto significa que tiene una longitud tres veces más pequeña que el diámetro de un cabello humano, y un espesor tres veces menor que el de un virus como el SARS-CoV-2.
Los dispositivos se han fabricado en la sala blanca del IMB-CNM bajo la supervisión del científico José Antonio Plaza. Luego, en un laboratorio de la Universidad de Bath, otro equipo dirigido por Anthony C. F. Perry ha inyectado el chip junto con un espermatozoide en el interior de un óvulo de ratón para analizar las etapas tempranas de la fertilización. Este proceso inicial ocurre de forma similar en los humanos.
Con el dispositivo dentro, han podido medir las fuerzas que reorganizan el interior del óvulo, es decir, su citoplasma, desde que se introduce el espermatozoide hasta que se divide en dos células.
La coreografía del desarrollo embrionario
“Haciendo un símil con el baile, el embrión realiza una coreografía de movimientos durante su desarrollo y hemos visto que no sólo el movimiento es importante sino también la intensidad del mismo”, comenta Plaza, “y a través de microscopia, podemos ver cómo el chip se dobla en el interior de la célula”.
“Dado que hemos modelizado y conocemos perfectamente qué fuerza hay que aplicar para que se doble el chip de una determinada manera –añade–, visualizando la curvatura podemos inferir qué fuerzas mecánicas se están dando en el interior celular”.
Lea: Investigación española recluta embarazadas para estudiar el impacto de la polución en el feto
Según los autores, una de las novedades de la investigación es poder detectar de estas fuerzas de manera directa, esto es, desde el interior del embrión y a lo largo de todo el proceso inicial de fertilización. “Casi todos los trabajos realizados hasta la fecha usaban herramientas externas, obteniendo una medida indirecta, y si lo hacen desde el interior es de una forma muy local y no describen la reorganización del citoplasma”, apunta Marta Duch, investigadora del IMB-CNM y primera autora del artículo.
Así, los científicos han hecho una medida preliminar de las fuerzas que se obtienen en la reprogramación del ADN del espermatozoide, algo que sucede justo tras la inyección del espermatozoide. “Aunque es muy difícil de comparar, hemos visto que estas fuerzas son mayores que las que otros grupos han medido en células musculares”, destaca Plaza.
También han observado que el efecto de la membrana del embrión, que es más rígida que su interior, es la responsable de que los pronúcleos (núcleos que transportan el material genético de la hembra y del macho) converjan en el centro del embrión para fusionarse. Durante la fusión, no han detectado fuerzas, quizá porque así se facilita la reorganización de los cromosomas, según los científicos.
La siguiente etapa es la división de la primera celula en dos. Aquí, los autores han visto cambios en la rigidez del citoplasma: “En este momento, nuestros chips revelan que el citoplasma se hace más rígido, lo que facilitaría la transmisión de las fuerzas dentro del embrión para conseguir elongarse”.
Esta elongación es necesaria para la posterior división en dos células. Después, en el momento en que la célula se fragmenta en dos, el citoplasma es menos rígido, posiblemente para facilitar la división.
Lea: Implantan los primeros chips bajo la piel en salón de la electrónica de Berlín
Esta investigación básica es un trabajo conceptual (proof of concept, en inglés) que demuestra la viabilidad de este sensor mecánico en el interior de una célula. Se sabe que las fuerzas mecánicas celulares tienen importantes implicaciones biológicas, pero hasta ahora no era algo que se hubiera podido medir con precisión durante todo el proceso inicial de fertilización.
Aplicación en reproducción asistida
Los autores también destacan que este trabajo puede ayudar a comprender mejor los primeros estadios del proceso de fertilización. En este sentido, se ha comprobado que la mecánica del embrión de ratón en su fase inicial es similar a la de los embriones humanos.
Por tanto, este estudio puede tener interés futuro en medicina de fertilización, pero también a la hora de analizar enfermedades relacionadas con algún problema de malformación en los procesos iniciales de formación del embrión.
Además del equipo hispano-británico mencionado, en este estudio también han participado científicos de la Universidad de Granada y la Universidad Politécnica de Cataluña.